کلینیک دندانپزشکی دکتر کیهان

انواع روکش دندان را بشناسید

انواع روکش دندان را بشناسید.

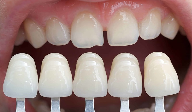
روکش دندان، یک کلاهک سفارشی است که روی دندان آسیب دیده قرار می‌گیرد تا آن را ترمیم کند و از آن محافظت نماید. روکش‌ها معمولاً از مواد بسیار بادوام ساخته می‌شوند و می‌توانند ظاهر و عملکرد دندان را به حالت اولیه بازگردانند. اما با توجه به تنوع مواد مورد استفاده در ساخت روکش‌ها، انتخاب نوع مناسب آن برای هر فرد، به عوامل مختلفی بستگی دارد. در این مقاله به بررسی انواع روکش دندان و ویژگی‌های هر یک می‌پردازیم.

 

چرا باید انواع روکش دندان را بشناسید ؟

  • ترمیم دندان‌های آسیب دیده: دندان‌هایی که به دلیل پوسیدگی، شکستگی یا پرکردگی‌های بزرگ آسیب دیده‌اند، نیاز به روکش دارند.
  •  پوشاندن دندان‌های تغییر رنگ داده: روکش‌ها می‌توانند دندان‌هایی که به دلیل مصرف برخی مواد غذایی یا داروها تغییر رنگ داده‌اند را بپوشانند.
  •  محافظت از دندان‌های ضعیف: دندان‌هایی که ضعیف شده‌اند و در معرض شکستگی هستند، با روکش تقویت می‌شوند.
  •  بهبود ظاهر لبخند: روکش‌ها می‌توانند شکل و اندازه دندان‌ها را تغییر دهند و به شما لبخندی زیباتر بدهند.

روکش‌های دندان بر اساس جنس مواد موردنظر در ساخت آن‌ها به انواع مختلفی تقسیم می‌شوند  که سایت دنتال تهران آنها را در ادامه مطلب به صورت کامل برای شما ذکر می‌کند. برای انجام هرکدام از این روکش‌ها شما می‌توانید به فوق تخصص دندانپزشکی در غرب تهران مراجعه کنید.

1. روکش‌های تمام سرامیکی (Full Ceramic) :

روکش‌های تمام سرامیکی، یکی از پیشرفته‌ترین و محبوب‌ترین گزینه‌ها برای بازسازی دندان‌ها هستند. این روکش‌ها به دلیل ظاهر طبیعی و زیبایی که به دندان‌ها می‌بخشند، بسیار مورد توجه قرار گرفته‌اند.

مزایای روکش‌های تمام سرامیکی :

  •  ظاهر بسیار طبیعی و شفاف: مهم‌ترین مزیت این روکش‌ها، زیبایی خیره کننده آن‌ها است. سرامیک به کار رفته در این روکش‌ها، نور را به شکلی مشابه دندان‌های طبیعی منعکس می‌کند و در نتیجه، روکشی کاملاً طبیعی و همرنگ با دندان‌های اطراف ایجاد می‌شود.
  • سازگاری بالا با لثه: روکش‌های تمام سرامیکی به دلیل عدم وجود فلز زیرین، با لثه سازگاری بسیار خوبی دارند و احتمال بروز واکنش‌های آلرژیک یا تحریک لثه را به حداقل می‌رسانند. این ویژگی، به ویژه برای افرادی که به فلزات حساسیت دارند، بسیار اهمیت دارد.
  • مقاومت در برابر لکه‌گیری: سرامیک به کار رفته در این روکش‌ها، در برابر لکه‌گیری بسیار مقاوم است. به همین دلیل، روکش‌های تمام سرامیکی ظاهر سفید و درخشان خود را برای مدت طولانی حفظ می‌کنند.

معایب روکش‌های تمام سرامیکی :

  •  هزینه بالاتر نسبت به سایر انواع روکش: یکی از مهم‌ترین معایب روکش‌های تمام سرامیکی، هزینه بالای آن‌ها است. مواد اولیه با کیفیت بالا، فرآیند ساخت پیچیده و نیاز به تخصص دندانپزشک، از جمله عواملی هستند که بر قیمت این روکش‌ها تأثیر می‌گذارند. برای اطلاع دقیق نسبت به هزینه این روکش پیشنهاد می‌کنیم از قیمت کامپوزیت نانو سرامیک بازدید کنید.
  •  شکنندگی نسبی در مقایسه با روکش‌های فلزی-سرامیکی: اگرچه روکش‌های تمام سرامیکی بسیار مقاوم هستند، اما در مقایسه با روکش‌های فلزی-سرامیکی، شکنندگی بیشتری دارند. به همین دلیل، این روکش‌ها بیشتر برای دندان‌های جلویی که تحت فشار جویدنی زیادی نیستند، توصیه می‌شوند.

در چه مواردی استفاده از روکش‌های تمام سرامیکی توصیه می‌شود؟

  •  بازسازی دندان‌های دارای شکستگی یا ترک خوردگی: روکش‌های تمام سرامیکی می‌توانند برای ترمیم دندان‌های شکسته یا ترک خورده به کار روند و ظاهر دندان را به حالت اولیه بازگردانند.
  •  پوشاندن دندان‌های دارای تغییر رنگ: این روکش‌ها می‌توانند برای پوشاندن لکه‌های مقاوم به سفید کردن و تغییر رنگ‌های ناشی از مصرف برخی مواد غذایی یا داروها استفاده شوند.
  • ایجاد لبخند هالیوودی: روکش‌های تمام سرامیکی می‌توانند برای تغییر شکل و اندازه دندان‌ها و ایجاد لبخندی زیبا و جذاب به کار روند.
  •  تثبیت بریج دندان: این روکش‌ها می‌توانند برای تثبیت بریج دندان و بهبود ظاهر آن استفاده شوند.

انواع روکش دندان را باید بشناسید

2. روکش‌های فلز-سرامیکی (PFM – Porcelain Fused to Metal) :

روکش‌های PFM یا پرسلن جوش خورده به فلز، یکی از رایج‌ترین انواع روکش‌های دندانی هستند که ترکیبی از استحکام فلز و زیبایی پرسلن را ارائه می‌دهند. در این نوع روکش، یک لایه نازک از پرسلن بر روی یک پایه فلزی قرار می‌گیرد تا ظاهری طبیعی و همرنگ با دندان‌های مجاور داشته باشد.

مزایای روکش‌های PFM :

  •  مقاومت بالا: به دلیل وجود پایه فلزی، روکش‌های PFM از استحکام بسیار بالایی برخوردار هستند و می‌توانند در مقابل نیروهای جویدنی به خوبی مقاومت کنند. این ویژگی آن‌ها را برای ترمیم دندان‌های آسیاب و دندان‌هایی که تحت فشار جویدنی زیادی هستند، مناسب می‌سازد.
  • هزینه مناسب‌تر نسبت به روکش‌های تمام سرامیکی: روکش‌های PFM به دلیل ساختار ساده‌تر و مواد اولیه ارزان‌تر، نسبت به روکش‌های تمام سرامیکی هزینه کمتری دارند. این موضوع باعث می‌شود که برای بسیاری از افراد، روکش‌های PFM گزینه مقرون به صرفه‌تری باشند.
  • طول عمر بالا: با مراقبت مناسب، روکش‌های PFM می‌توانند سال‌ها دوام بیاورند و به عنوان یک راه حل طولانی مدت برای ترمیم دندان‌های آسیب دیده مورد استفاده قرار گیرند.

معایب روکش‌های PFM :

  • لبه فلزی ممکن است در طول زمان در امتداد لثه قابل مشاهده شود: یکی از مهم‌ترین مشکلات روکش‌های PFM، احتمال مشاهده لبه فلزی در امتداد لثه است. با تحلیل رفتن لثه، این لبه فلزی ممکن است بیشتر نمایان شود و ظاهر نامطلوبی ایجاد کند.
  •  امکان ایجاد حساسیت به فلز: برخی افراد ممکن است به فلز استفاده شده در ساخت روکش PFM حساسیت نشان دهند. این حساسیت می‌تواند به صورت التهاب لثه، تغییر رنگ لثه یا درد بروز کند.
  • عدم شفافیت به اندازه روکش‌های تمام سرامیکی: روکش‌های PFM به دلیل وجود لایه فلزی، به اندازه روکش‌های تمام سرامیکی شفاف نیستند و ممکن است ظاهری مصنوعی‌تر داشته باشند.
  • تفاوت رنگ با دندان‌های مجاور: در برخی موارد، ممکن است تطبیق رنگ روکش PFM با دندان‌های مجاور به طور کامل امکان‌پذیر نباشد و این تفاوت رنگ قابل مشاهده باشد.

چه زمانی روکش PFM انتخاب مناسبی است؟

روکش‌های PFM برای افرادی که به دنبال یک روکش مقاوم و مقرون به صرفه هستند و حساسیت به ظاهر طبیعی روکش در اولویت آن‌ها نیست، گزینه مناسبی است. همچنین این روکش‌ها برای ترمیم دندان‌های آسیاب و دندان‌هایی که تحت فشار جویدنی زیادی هستند، بسیار مناسب هستند.

چه زمانی روکش PFM انتخاب مناسبی نیست؟

  •  افرادی که به فلز حساسیت دارند: افرادی که به فلز حساسیت دارند، نباید از روکش‌های PFM استفاده کنند.
  • افرادی که به دنبال ظاهری کاملا طبیعی هستند: روکش‌های PFM به اندازه روکش‌های تمام سرامیکی ظاهر طبیعی ندارند و ممکن است برای افرادی که به دنبال ظاهری کاملا طبیعی هستند، مناسب نباشند.
  • افرادی که لثه‌های تحلیل رفته دارند: در افرادی که لثه‌های تحلیل رفته دارند، احتمال مشاهده لبه فلزی در امتداد لثه بیشتر است و بنابراین روکش‌های PFM برای این افراد گزینه مناسبی نیست.

3. روکش‌های زیرکونیایی، گزینه‌ای مدرن و بادوام برای ترمیم دندان‌ها :

روکش‌های زیرکونیایی به عنوان یکی از جدیدترین و پیشرفته‌ترین روش‌های ترمیم دندان‌ها، به دلیل ویژگی‌های منحصر به فرد خود، جایگاه ویژه‌ای در دندانپزشکی پیدا کرده‌اند. این روکش‌ها از ماده‌ای بسیار سخت و مقاوم به نام زیرکونیا ساخته می‌شوند که باعث شده است تا در مقایسه با سایر مواد روکش دندان، مزایای قابل توجهی خواهد داشت.

مزایای روکش‌های زیرکونیایی :

  •  استحکام بسیار بالا: زیرکونیا یکی از سخت‌ترین مواد مورد استفاده در دندانپزشکی است. این ماده مقاومت بسیار بالایی در برابر سایش، شکستگی و ترک خوردگی دارد. به همین دلیل، روکش‌های زیرکونیایی برای دندان‌هایی که تحت فشار جویدنی زیادی قرار دارند، مانند دندان‌های آسیاب، گزینه بسیار مناسبی هستند.
  • شفافیت بالا: روکش‌های زیرکونیایی دارای شفافیت بسیار بالایی هستند و نور را به خوبی از خود عبور می‌دهند. این ویژگی باعث می‌شود که روکش زیرکونیایی ظاهری طبیعی و زیبا خواهد داشت و به سختی از دندان‌های طبیعی قابل تشخیص می‌باشد.
  •  سازگاری خوب با لثه: زیرکونیا یک ماده زیست سازگار است و باعث ایجاد حساسیت و التهاب لثه نمی‌شود. همچنین، سطح صاف و صیقلی روکش‌های زیرکونیایی به کاهش تجمع پلاک و باکتری‌ها کمک می‌کند و در نتیجه خطر ابتلا به بیماری‌های لثه را کاهش می‌دهد.
  • عدم تغییر رنگ: روکش‌های زیرکونیایی در برابر تغییر رنگ مقاومت بسیار بالایی دارند و در طول زمان رنگ خود را حفظ می‌کنند. به همین دلیل، نیازی به نگرانی در مورد تغییر رنگ روکش و عدم زیبایی آن نیست.
  • عمر طولانی: به دلیل استحکام و مقاومت بالای روکش‌های زیرکونیایی، این روکش‌ها دارای عمر طولانی هستند و در صورت مراقبت صحیح، می‌توانند سال‌ها برای شما کار کنند.

معایب روکش‌های زیرکونیایی :

  •  هزینه بالا: یکی از مهم‌ترین معایب روکش‌های زیرکونیایی، هزینه بالای آن‌ها است. به دلیل مراحل پیچیده ساخت و مواد اولیه باکیفیت، هزینه این نوع روکش‌ها نسبت به سایر روکش‌ها بیشتر است.
  • محدودیت در رنگ‌آمیزی: اگرچه روکش‌های زیرکونیایی شفافیت بالایی دارند، اما امکان تغییر رنگ آن‌ها به اندازه روکش‌های پرسلنی وجود ندارد. در نتیجه، ممکن است در برخی موارد، تطبیق کامل رنگ روکش با دندان‌های طبیعی دشوار باشد.
  •  نیاز به تراش بیشتر دندان: برای قراردهی روکش زیرکونیایی، دندان باید بیشتر تراش بخورد تا فضای کافی برای روکش ایجاد شود.

انواع روکش دندان

4. روکش‌های تمام فلزی:

روکش‌های تمام فلزی، از گذشته تا کنون به عنوان یکی از گزینه‌های درمانی برای ترمیم دندان‌های آسیب‌دیده مورد استفاده قرار می‌گیرند. این روکش‌ها به دلیل ویژگی‌های خاصی که دارند، همچنان در دندانپزشکی کاربرد دارند. در ادامه، مزایا و معایب روکش‌های تمام فلزی را به صورت مفصل بررسی خواهیم کرد تا شما بتوانید با آگاهی کامل تصمیم‌گیری کنید. برای مثال درصورت نیاز نسبت قیمت این روکش‌ها ما قیمت روکش طلا دندان ۱۴۰۳ را در اختیار شما قرار خواهیم داد.

مزایای روکش‌های تمام فلزی :

  •  مقاومت بسیار بالا: روکش‌های تمام فلزی به دلیل جنس فلزی خود، از مقاومت بسیار بالایی برخوردار هستند. این روکش‌ها در برابر نیروهای جویدنی و سایش مقاومت می‌کنند و می‌توانند سال‌ها بدون شکستگی یا ترک خوردگی مورد استفاده قرار گیرند. این ویژگی، روکش‌های فلزی را به گزینه‌ای ایده‌آل برای دندان‌های آسیاب و دندان‌هایی که تحت فشار زیادی قرار دارند، تبدیل کرده است.
  • هزینه پایین: به طور کلی، روکش‌های تمام فلزی نسبت به سایر انواع روکش‌ها، مانند روکش‌های سرامیکی و روکش‌های کامپوزیتی، هزینه کمتری دارند. این موضوع، روکش‌های فلزی را به گزینه‌ای مقرون‌به‌صرفه برای بسیاری از افراد تبدیل کرده است.
    معایب روکش‌های تمام فلزی
  • ظاهر فلزی و غیر طبیعی: یکی از مهم‌ترین معایب روکش‌های تمام فلزی، ظاهر فلزی و غیر طبیعی آن‌ها است. این روکش‌ها به دلیل رنگ فلزی خود، در مقایسه با دندان‌های طبیعی، ظاهر متفاوتی دارند. به همین دلیل، روکش‌های فلزی معمولاً برای دندان‌های جلویی که در معرض دید هستند، مناسب نیستند.
  • احتمال ایجاد حساسیت به فلز: برخی افراد ممکن است به فلزات موجود در روکش‌های فلزی حساسیت داشته باشند. این حساسیت می‌تواند منجر به بروز علائمی مانند تورم لثه، تغییر رنگ لثه، درد و حتی مشکلات سیستمیک شود. بنابراین، قبل از انجام روکش فلزی، لازم است که پزشک دندانپزشک شما درباره سابقه حساسیت‌های شما سوال کند.
  •  اثرگذاری بر طعم غذا: روکش‌های فلزی ممکن است بر روی طعم غذاها تأثیر بگذارند. برخی افراد ممکن است پس از انجام روکش فلزی، طعم فلز را در دهان خود احساس کنند.
    تیره شدگی لثه: در برخی موارد، روکش‌های فلزی ممکن است باعث تیرگی لثه در اطراف دندان روکش می‌شود، این پدیده به دلیل واکنش فلز با بافت لثه رخ می‌دهد.

آشنایی با انواع روکش دندان

عوامل مؤثر در انتخاب نوع روکش دندان

انتخاب نوع روکش دندان، تصمیم مهمی است که بر ظاهر و عملکرد دندان‌های شما تأثیر می‌گذارد. عوامل مختلفی در این انتخاب دخیل هستند که در زیر به تفصیل به هر یک می‌پردازیم.

1. موقعیت دندان :

موقعیت دندان در دهان، یکی از مهم‌ترین عوامل در انتخاب نوع روکش است. برای دندان‌های جلویی که بیشتر در معرض دید هستند، زیبایی و طبیعی بودن روکش از اهمیت ویژه‌ای برخوردار است. در این موارد، روکش‌های تمام سرامیکی یا زیرکونیایی به دلیل شفافیت و رنگ طبیعی، انتخاب بسیار مناسبی هستند. این روکش‌ها ظاهری بسیار شبیه به دندان‌های طبیعی دارند و باعث زیباتر شدن لبخند می‌شوند.

2. میزان آسیب دندان :

میزان تخریب و آسیب دیدگی دندان، عامل دیگری است که در انتخاب نوع روکش مؤثر است. برای دندان‌هایی که آسیب شدید دیدند و بخش زیادی از بافت دندان خراب است، روکش‌های فلزی-سرامیکی یا زیرکونیایی به دلیل استحکام بالاتر، انتخاب بهتری هستند. این روکش‌ها قادر به تحمل نیروهای ناشی از جویدن هستند و از دندان محافظت می‌کنند.

3. هزینه انواع روکش دندان :

درواقع میزان قیمت روکش دندان ، یکی از مهم‌ترین ملاحظات در انتخاب نوع روکش است. قیمت روکش‌ها بسته به نوع ماده استفاده می‌شود، پیچیدگی کار و دستمزد دندانپزشک متفاوت است. روکش‌های فلزی-سرامیکی معمولاً نسبت به روکش‌های تمام سرامیکی یا زیرکونیایی، هزینه کمتری دارند. اما روکش‌های تمام سرامیکی و زیرکونیایی به دلیل زیبایی و دوام بالاتر، هزینه بیشتری دارند. درصورتی که توانایی پرداخت هزینه بالای روکش دندان را ندارید، پیشنهاد می‌کنیم از قیمت بلیچینگ دندان ۱۴۰۳ بازدید کنید.

4. نظر دندانپزشک درباره انواع روکش دندان:

دندانپزشک با بررسی دقیق وضعیت دهان و دندان‌های شما، بهترین نوع روکش را به شما پیشنهاد می‌دهد. دندانپزشک به عواملی مانند موقعیت دندان، میزان آسیب دیدگی، رنگ دندان‌های مجاور، بودجه شما و سایر عوامل مرتبط توجه می‌کند و سپس مناسب‌ترین گزینه را انتخاب می‌کند. البته در برخی از مواقع لمینت گزینه بهتری از روکش دندان برای شما است که توسط دندانپزشک قابل تشخیص خواهد بود،

مراقبت از انواع روکش دندان :

  •  مسواک مرتب: حداقل دو بار در روز دندان‌های خود را با مسواک نرم و خمیردندان فلوراید مسواک بزنید.
  •  استفاده از نخ: روزانه از نخ استفاده کنید تا بین دندان‌ها و زیر روکش تمیز شود.
  • مراجعه منظم به دندانپزشک: برای معاینه و تمیزی دندان‌ها، به طور منظم به دندانپزشک مراجعه کنید.
  • اجتناب از عادات بد: از عاداتی مانند ناخن جویدگی، بازی با بطری و گاز گرفتگی اجسام سخت خودداری کنید.

سخن پایانی درباره انواع روکش دندان

در این مطلب ما سعی کردیم تا شما به صورت کامل انواع روکش دندان را بشناسید، درواقع انتخاب نوع روکش دندان، تصمیم مهمی است که بر ظاهر و سلامت دندان‌های شما تاثیر می‌گذارد. برای انتخاب بهترین گزینه، با دندانپزشک خود مشورت کنید تا با توجه به شرایط خاص شما، مناسب‌ترین روکش برای دندان‌هایتان انتخاب شود. همچنین شما می‌توانید از مطالب دیگر سایت ما مانند روکش دندان بهتر است یا ایمپلنت بازدید کنید.

بیشتر بدانید

بیمه های طرف قرارداد